Belmiro Cavalcanti do Egito VASCONCELOS*
Emanuel Dias de Oliveira e SILVA**
Natalie KELNER***
Karla Soares de MIRANDA***
Alessandra de Fátima Cunha da SILVA***
* Doutor em Odontologia (Cirurgia e Traumatologia Buco-Maxilo-Facial) – Universidade de Barcelona; Professor da Disciplina de Cirurgia da FOP/UPE;
Coordenador do Programa de Pós-graduação em Cirurgia e Traumatologia Buco-Maxilo-Facial da FOP/UPE.
**Cirurgião-Dentista, Especialista em Cirurgia e Traumatologia Buco-Maxilo-Facial, Professor Adjunto IV e Regente da Disciplina de Cirurgia e Traumatologia
Buco-Maxilo-Facial da FOP/UPE.
***Aluna do 7° período da graduação na Faculdade de Odontologia de Pernambuco(FOP/UPE)
(Artigo publicado na integra. Com adiçao apenas de figuras explicativas)
Rev. Cir. Traumat. Buco-Maxilo-Facial, v.2, n.1, P. 49-57, Jan/jun - 2002 Clique para baixar - - >
RESUMO
A ATM é uma articulação especial pelo fato de desenvolver a sua atividade na interdependência de sistemas como o muscular e ligamentar, a oclusão, bem como da articulação homóloga.
Assim, as disfunções que acometem essa articulação possuem certas peculiaridades e são alvos de debates com relação aos seus diagnósticos e respectivos tratamentos.
Com isso, este trabalho tem por objetivo realizar uma revisão de literatura a cerca dos meios de diagnóstico das disfunções craniomandibulares, discutindo quais os mais utilizados, descrevendo suas vantagens, desvantagens e principais características.
UNITERMOS: ATM; disfunções; diagnóstico; avaliação.
INTRODUÇÃO
A articulação temporomandibular, ou como normalmente é conhecida pela sigla ATM, é uma articulação especial, pois é a única do organismo a ter ponto terminal “rígido” de fechamento, que são os dentes, além de ser uma unidade simétrica com sua homóloga do lado oposto, de tal maneira que ao movimentar-se uma, há que movimentar irreversivelmente a outra.
As disfunções desta unidade anatômica são muito freqüentes atingindo cerca de 75% da população, embora apenas 5% necessitem de tratamento.(15)
Os principais sintomas observados nesses pacientes são; dor na região da ATM, dor de ouvido, dor muscular, dor de cabeça, sons na região pré-auricular, abertura limitada da boca e desvio da linha média.
O principal instrumento para obtenção do diagnóstico destas disfunções é o exame clínico adequado, porém em alguns casos faz-se necessário lançar mão de exames complementares.
Na tentativa inicial de diagnóstico de uma possível disfunção na ATM é mais importante um exame clínico minucioso e uma história pregressa detalhada do que exames radiográficos, eletromiográficos e laboratoriais, pelo fato de que a origem da sintomatologia na face é multifatorial.
O profissional deve saber solicitar a modalidade mais apropriada para cada paciente, levando em consideração as vantagens e desvantagens de cada técnica.
O exame complementar deverá ser solicitado se esse for capaz de fornecer informações que confirmem ou modifiquem o diagnóstico ou o plano de tratamento.
Sendo assim, este trabalho irá dissertar a respeito dos principais meios de diagnóstico para as disfunções da articulação craniomandibular.
REVISTA DA LITERATURA
A obtenção de imagens confiáveis das estruturas que formam a ATM, sempre foi um desafio para os profissionais que trabalham no estudo e tratamento dos problemas que acometem essa articulação. As características anatômicas e as estruturas vizinhas que se superpõem na imagem são citadas como as principais causas das dificuldades de nítida visualização, não permitindo, muitas vezes, um diagnóstico correto e conclusivo. (18)
Na tentativa inicial de diagnósticos de uma possível disfunção na ATM, é mais importante um exame clínico minucioso e uma história pregressa detalhada do que exames radiológicos, eletromiográficos e laboratoriais.(13)
Durante o exame clinico criterioso, o paciente deve ser submetido à palpação na região da ATM e músculos da mastigação, verificar a abertura máxima de boca, responder a um questionário sobre sua queixa principal, história médica e odontológica pregressa, informações sobre dores na região, no ouvido ou na cabeça, estalidos, entre outros, para obtenção do máximo de informações.
Exame clínico
A história clínica detalhada e a exploração física minuciosa são a base de um diagnóstico correto. A palpação e a observação são importantes, parte inseparável de qualquer anamnese. Porém, de forma consciente, na época
em que já se decifra o código do genoma humano, nenhum de nós iniciou qualquer procedimento, nas variadas áreas da medicina, somente com observação e palpação. (19)
Para a ATM, o exame clínico direto repousa sobre uma palpação lateral e intra-articular. O exame dos movimentos mandibulares, mesmo com a eletromiografia, não nos permite rotular definitivamente todas as patologias aparentes. (2)
O grau de Desordens Temporomandibulares (DTM) foi analisado em estudantes a partir de um índice anamnésico do grau de abertura bucal e dos movimentos excêntricos (laterais e protrusivos). Para se chegar a um diagnóstico de DTM a partir da anamnese, os autores utilizaram uma ficha com dados pessoais e um questionário preconizado por FONSECA et al (1994), o qual contava de várias perguntas entre as quais:
1)sente dificuldades em abrir bem a boca?;
2)você sente dificuldade para movimentar a mandíbula para os lados?;
3) tem cansaço da musculatura quando mastiga?;
4)sente dores na cabeça com freqüência?;
5)sente dor na nuca ou torcicolo?;
6)tem dor no ouvido ou na região das ATMs?;
7)já notou se tem ruído nas ATMs quando mastiga ou quando abre a boca?;
8)já observou se tem algum hábito como apertar ou ranger os dentes?;
9)sente que seus dentes não articulam bem?;
10)você se considera uma pessoa tensa (nervosa)?
Foram atribuídos valores às respostas do questionário: se sim, 10 pontos; se ás vezes, 5 pontos; se não, 0.
Os alunos foram classificados: sem disfunção se o índice anamnésico somou de 0 a 15; com disfunção se obteve valores de 20 a 40; com disfunção moderada de 45 a 65; e com disfunção severa de 70 a 100.(6) .
Nesse estudo observou-se a importância do uso de um questionário para a avaliação do grau de DTM, permitindo classificar o indivíduo, ainda em estágio precoce, como portador de DTM.
Exames Complementares no Diagnóstico da DTMs
* Imagenologia da ATM:
As informações são limitadas pois ocorre distorção no tamanho da imagem há sobreposição de estruturas anatômicas. Entretanto, pela simplicidade, fácil acesso e baixo custo, são referencialmente solicitados antes de técnicas mais sofisticadas.
As imagens da ATM devem ser sempre bilaterais para haver comparação entre os lados.
O ideal seria que uma única modalidade de exame pudesse fornecer todas as informações para todos os casos e situações.
As imagens podem ser classificadas em: que utilizam radiação ionizante (radiografias, tomografias e artrografias); que não utilizam nenhum tipo de radiação (imagem por ressonância magnética); que utilizam radioisótopos (cintilografia).(15)
Radiografias convencionais
Os exames radiológicos da ATM são destinados a: reconhecer ou confirmar as anomalias morfológicas ou funcionais; trazer elementos de diagnóstico para as estruturas discais; evitar tratamentos inadequados ou inúteis.(2)
As técnicas radiográficas convencionais mais usadas são:
Transcranianas
Se a ATM for radiografada em projeção direta lateral, ou seja, paciente com plano sagital mediano paralelo ao plano do filme e raio X perpendicular a ambos, o feixe central não estará passando na direção do longo eixo do côndilo, e portanto, não estará projetando a melhor imagem daquela estrutura. Então, para que se consiga a projeção mais adequada dos côndilos da mandíbula, será necessário que o ponto de entrada dos raios X seja acima das estruturas altamente radiopacas dos rochedos e na direção do longo eixo do côndilo (7cm acima e 7cm atrás da articulação do lado oposto) (1).
O que se vê realmente da ATM são as estruturas intrinsecamente relacionadas com esta articulação, como: forame auditivo externo, o côndilo, a cavidade glenóide e o tubérculo articular do temporal. Todas as estruturas visíveis por esta projeção cabem num diâmetro de 7 cm, isto permite que efetue-se três exposições em metade do filme de18x24cm (uma em repouso, outra em abertura normal e a terceira em abertura máxima) e outras três na outra metade, para a ATM do outro lado.(1)
Este é o exame mais solicitado para avaliação das imagens da ATM quando se suspeita de desordem intra-articular, ou para verificar a capacidade de translação condilar. Possui custo relativo, porém tem como desvantagens a sobre posição das porções condilares (central e medial) a outras estruturas.(15)
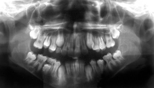
Panorâmicas
A técnica radiográfica panorâmica tem uma posição de grande importância como auxiliar de diagnóstico, sendo que suas vantagens superam as desvantagens.(10)
É indicada quando se deseja ampla visão da maxila e mandíbula para análise das dimensões e forma anatômicas, ou quando há suspeita de processos degenerativos ou outras patologias ósseas porém, é contra-indicada para inspeção e interpretação funcional da ATM, pois durante este
exame o paciente morde um artefato acrílico.
Suas principais vantagens são: as imagens dos dois ramos ascendentes e côndilos podem ser vistas simultaneamente. A técnica é relativamente fácil e a aparelhagem de fácil aquisição e os programas mais modernos têm programas específicos para ATM .(15)
Esta técnica também tem melhor aceitação por todos os grupos de pacientes, principalmente as crianças, devido às facilidades oferecidas.(10)
Entre as desvantagens estão: sobreposição de imagens e simulação de patologias inexistentes15. Tempo de exposição longo, o qual pode propiciar movimentação do paciente durante a realização da técnica. (10)
O relacionamento do côndilo na fossa mandibular é distorcido porque a mandíbula é protruída quando é feita a exposição5.
Tomografia computadorizada
É um método radiológico que permite obter a reprodução de uma secção do corpo humano, com finalidade diagnóstica. É o método de escolha para a imagem de estruturas ósseas. A Tomografia Computadorizada (TC) representa a segunda revolução destes últimos anos em matéria de exploração da ATM. A utilização de métodos auxiliares de ponta vem nos acrescentar uma maior segurança no diagnóstico e tratamento das patologias(3).
A tomografia é um dos tipos de imagem radiográfica especializada mais usadas na odontologia e de mais fácil acesso, seu uso mais freqüente envolve imagens da ATM e de implantes(3)
A TC proporciona uma imagem distinta de uma selecionada faixa de um objeto, enquanto só tecidos vizinhos são barrados propositadamente.
Este efeito é conseguido com um mecanismo que movimenta simultaneamente tubo de raios-X e filme, que são ligados por meio de uma haste rígida, em direções contrárias. Este método radiográfico permite obter imagens de partes de um objeto em cortes ou secções, livres de estruturas sobrepostas.(5)
Apesar de nos anos 70 ser considerada um exame ideal para todas as estruturas da ATM, hoje ela tem sua indicação direcionada à pesquisa de detalhes da anatomia esquelética, delimitação de pequenas modificações ósseas, determinação da posição condilar e da forma e dimensões das estruturas esqueléticas dessa articulação, livres de superposição de qualquer outra estrutura. Ela tem as vantagens de fornecer uma imagem tridimensional da ATM e que corresponde à realidade com precisão, além de não ser invasiva(7).
Devido à posição da cabeça do paciente no aparelho, não é possível a tomada sagital, principal plano de interesse para avaliações funcionais da ATM .18 Além disso, tem alto custo e o paciente é exposto a considerável radiação ionizante.
Artrografia
A artrografia é indicada para pacientes com diagnóstico positivo de síndrome de dor e disfunção miofacial, da ATM, pacientes com uma história positiva de travamento ou ruídos articulares e paciente com abertura de boca limitada de etiologia indeterminada.
O objetivo primário do artrograma é avaliar o disco, a extensão do movimento discal e a sua integridade.(5)
Consiste na injeção de um meio de contraste no espaço supra ou infra discal da ATM, seguida de avaliação radiográfica simples ou tomográficas para visualização do contorno do disco e superfícies articulares (15)
A artrografia apresentou-se superior no diagnóstico do deslocamento do disco articular (12).
Durante o exame, se houver extravasamento do agente de contraste para outro compartimento diagnosticou-se uma perfuração no disco ou nos ligamentos retrodiscais.(12)
Porém existem relatos de que os resultados podem ser falso-positivos (15).
Apresenta as desvantagens de o paciente poder apresentar desconforto local por alguns dias após o procedimento, não poder ser realizado em presença de infecção aguda ou em pacientes com hipersensibilidade ao contraste iodado. Somente a artrografia pode estabelecer com exatidão suas relações tanto com a boca fechada, como durante os movimentos de abertura. Infelizmente, os diversos inconvenientes deste exame limitam sua utilização(2).
Ressonância Magnética
A Ressonância Magnética (RM) tem as vantagens de visualizar todos os tecidos (discos, músculos, vasos, etc.), ter ponderações diferentes e estudo direcional sem deslocamento do paciente, ela não causa efeitos secundários conhecidos no organismo, tendo um campo magnético muito intenso (2).
A imagem de RM é um método comum de diagnóstico para avaliação da displasia do disco articular (9).
Pesquisas recentes sugeriram que a TC, imagens de RM e artroscopia facilitam o diagnóstico clínico da condromatose sinovial (9).
A RM tem sido aceita como uma modalidade precisa para a avaliação de várias anormalidades da ATM como: degeneração do disco da ATM, mudanças edematosas e inflamatórias no ligamento posterior do disco, entre outras (17).
As indicações clínicas da RM seriam: patologias intercapsulares, visualização do disco, luxações discais anteriores irredutíveis, patologia articular, derrames intrarticulares, artropatias inflamatórias, artrose, osteófitos, desaparecimento da cortical óssea subcondreal (2).
Apesar da não invasividade, este exame possui algumas contra-indicações absolutas e relativas, são elas:
-Absolutas: pacientes portadores de clips vasculares intracerebrais ferromagnético; corpos estranhos ferromagnéticos intracerebrais e ocular; clips cardíacos; bombas implantadas.
-Relativas: pacientes claustrófobos; gravidez nos três primeiros meses; eletrodos implantados.
-Específicas: algumas ligas usadas em odontologia podem provocar artefatos nas IRM (aparelhos ortodônticos, próteses com ligas não preciosas) (2).
Cintilografia óssea
Para o diagnóstico, tratamento e investigação de determinadas doenças, a medicina nuclear utiliza-se da aplicação de diferentes isótopos radioativos. O elemento químico fixa-se onde houver maior atividade osteoblástica e é
localizado por um aparelho mapeador (15).
Apresenta as vantagens de não ser invasivo, não ter riscos e ser capaz de detectar lesões muito antes que as radiografias. A radiação que o paciente recebe é muito menor em relação às radiografias convencionais (15).
A desvantagem é de não s er específica, requerendo freqüentemente outro exame para confirmação da natureza do problema e posterior plano de tratamento (15).
*Artroscopia
A artroscopia da ATM pode ser dividida em duas categorias: diagnostica e operativa (american association of oral e maxilofacial surgeons apud mazzonetto). A artoscopia diagnostica nada mais é do que a visualização direta dos tecidos articulares e é usada para diagnosticar mudanças patológicas nas articulações.
Indicações
dores articulares persistentes e inexplicáveis que não respondem ao tratamento conservador; para confirmar a presença de uma alteração detectada clinicamente e que não pode ser diagnosticada por outro de avaliação; quando necessita de biopsia de uma lesão ou doença (12).
*Eletromiografia de superfície
A eletromiografia é a técnica em que a gravação dos potenciais de ação das fibras musculares em contração é colocada em um meio de exibição; ela representa um novo paradigma para avaliar e tratar a energia dos músculos (19).
O estudo do paciente, antes do início de qualquer terapia deve ser medido e gravado para comparação de seu estado antes, durante e após o tratamento, o que determina a efetividade da nossa intervenção terapêutica (19).
Tendo a vantagem de ter a capacidade de regular, contar e analisar os movimentos grosseiros e refinados da mandíbula, monitorando os sons da articulação e a atividade dos músculos mastigatórios, permitindo ao cirurgião-dentista adotar uma posição oclusal medida com o conhecimento das implicações dos músculos mastigatórios na própria oclusão, além de ser uma técnica não invasiva e não interferir na função natural (19).
O teste de SEMG funcional permite quantificar assimetrias musculares e atividade muscular em abertura e fechamento. Lembrando sempre que a eletromiografia é um elemento a mais para o estabelecimento do diagnóstico e não deve ser usado isoladamente (19).
DISCUSSÃO
A RM é um ótimo exame para os tecidos da ATM, tendo as vantagens de não ser um exame invasivo e produzir imagens de excelente qualidade e resolução, não se conhecendo efeitos colaterais e tendo como sua desvantagem o alto custo (7,18).
Para o exame da ATM, a TM é específica para os tecidos duros, não é invasiva e dá riqueza de detalhes em imagens tridimensionais (7).
Comparando-a com a ressonância magnética vêse que esta retrata a anatomia dos tecidos moles da articulação temporomandibular com maior riqueza de detalhes, enquanto a TC tem a sua indicação específica para estrutura óssea.
A artografia é uma técnica que nos mostra a perfuração de disco e ligamentos retrodiscais e também o deslocamento de disco com auxílio de contrastes 12,15. Porém, existem relatos de falsopositivos ,além de causar desconforto local por alguns dias após o procedimento.(15)
As radiografias simples nos dão poucos detalhes da região, não sendo muito indivadas para o estudo das DTMs (15).
A cintilografia estuda o metabolismo ósseo, não sendo específica para a região da ATM, requerendo outra técnica para confirmação do diagnóstico. Apresenta as vantagens de não ser invasiva , não ter riscos e ser capaz de detectar lesões muito antes das radiografias (15).
A eletromiografia estuda os músculos da mastigação,porém não deve ser usada isoladamente.
CONCLUSÃO
Após os estudo de todos estes meios de diagnóstico, constatamos que o exame clínico é soberano, porém deve-se lançar mão de exames complementares para o fechamento do diagnóstico definitivo e melhor elaboração do plano de tratamento. Não esquecendo que o atendimento dos pacientes com alterações na ATM deve ser multidisciplinar.
De acordo com as indicações das diferentes técnicas para exame da ATM , concluise que os melhores métodos para avaliação das desordens temporomandibulares são a tomografia computadorizada e a ressonância magnética.
REFERÊNCIAS BIBLIOGRÁFICAS
1 - ALVARES,L.C; TAVANO,O. Curso de radiologia em odontologia. 2. ed. São Paulo; Santos, 1990.P.105-117.
2 - ARELLANO,J.C.V. Ressonância nuclearmagnética no diagnostico e controle dotratamento das disfunções da articulaçãotemporomandibular.J Bras Oclusão, ATM ,Dor Orofacial , curitiba,v.1,n.3,p.187-192,jul/set,2001.
3 - ARELLANO,J.C.V. Tomografia Computadorizada(T.C) no diagnostico e controle do tratamento das disfunções da articulação temporomandibular. J Bras Oclusão, ATM,Dor Orofacial, Curitiba, v.1,p.315-323,out/ dez,2001.
4 - BONFANTE,G;GUEDES,F.P.A.J. Desordens temporomandibulares em crianças. J Bras Oclusão, ATM, Dor Orofacial , Curitiba, v.1,n.1,p.39-43,jan/mar,2001.
5 - FREITAS,A; ROSA,J.E; SOUZA,I.F. Radiologia Odontologica. 5.ed. São Paulo; artes medicas, 000.p.311-331.
6 - GARCIA,R.A;LACERDA Jr,N.;PEREIRA,S.L.S. Grau de disfunção da ATM e dos movimentos mandibulares em adultos jovens. Rev Assoc Paul Cir Dent . São Paulo, v.51, p. 46-51, jan/fev, 1997.
7 - GORGU,M; ERDOGAN,B; AKOZ,T; KOSAR,U; DAG,F. Three-dimensional computed tomography in evaluation of ankylosis of the temporomandibular joint. Scand J Plast Reconstr Hand Surg , 2000; 34: 117-120.
8 - HAYASHI,T; ITO,J; KOYAMA,J; YAMADA,K. The accuracy of sonography for evaluation of internal derangement of the temporomandibular joint in asymptomatic elemetary school children : omparison with MR and CT. Am J Neuroradiol , 2001; 22: 728- 734.
9- KOYAMA, J; ITO, J; HAYASHI,T; KOBAYASHI, F. Synovial chondromatosis in the temporomandibular joint complicated by displacement and calcification of the articular
disk: report of two cases. Am J Neuroradiol, 2001; 22: 1203-1206.
10 - MAGALHÃES , J.C,A; PEREIRA, M.F; FREITAS,CVAROLI,O .J. A radiografia panorâmica e sua importância nos diagnósticos das fraturas mandibulares. RPG, v.2, n.2,p.66-71,abr/maio/jun,1995.
11 - MARCUCCI,M; CORREA,F.A.S. Considerações sobre o diagnóstico diferencial das disfunções da articulação temporomandibular. J Bras Oclusão, ATM, Dor Orofacial , Curitiba, v.1, n.4, p.325-328,
out/dez,2001.
12 - MAZZONETTO,R.; SPAGNOLI,D.B. Artroscopia para o tratamento dos desarranjos em termos da articulação temporomandibular. Rev Assoc Paul Cir Dent. São Paulo, v.55,n.5,p.337-342 ,set/out,2001.
13 - MIRANDA,M.E; VIOLA,M.J. Disfunções na ATM: conceito, diagnostico e tratamento. Rev Gaucha Odontol. 36 (6), p.443-448, nov/ dez, 1998.
14 - MOLINA,O .F; MAZZETO,M; STECHMAN,J; SANTOSJr, J; FERNANDES,R.S.M; PIZZO,R.C.A; ARAGON,L.G. Distúrbios internos articulares. Retrodiscite em pacientes com bruxismo e DCMcaracterísticas clínicas, diagnóstico e sugestões para tratamento. J Bras Oclusão, ATM, Dor Orofacial , Curitiba,v.1, n.1,p.67-75, jan/mar,2001.
15 - MORAES,L.C; DUARTE,M.S.R; MEDICI FILHO,E; MORAES,M.E.L Imagens da ATM-Técnicas de exame. J Bras Ortop Facial,Curitiba,v.6,n.36,p.502-507,nov/ dez,2001.
16 - POMPEU,J.G.F; PRADO,V.L.G; SANTOS,S.M; COSTA,T.M;RAMOS, M.J.A Disfunção raniomandibular- análise de parâmetros para sua identificação. J Bras Oclusão, ATM,
Dor Orofacial , Curitiba, v.1, n.1, p.44-48, jan/mar,2001.
17 - SUENAGA,S; ABEYAMA,K; INDO,H; SHIGETA,K; NOIKURA,T. Temporomandibular disorders: MR
assessment of inflamatory changes in posterior disk attachment during the menstrual cycle. J Comput Assist Tomogr, Philadelphia, v.25, n.3,p.476-481,2001.
18 - VITRAL,R.W.F; TELLES, C.S. A utilização da tomografia computadorizada na articulação temporomandibular. J Bras Oclusão, ATM, Dor Orofacial ,Curitiba,v.1, n.1,p.76-79, jan/ mar,2001.
19 - YAVICH,L.G. Eletromiografia de superfície no diagnóstico e controle do tratamento das disfunções temporomandibulares. J Bras Oclusão, ATM, Dor Orofacial, Curitiba,v.1, n.3,p.193-198, jul/set,2001